이안동물의학센터가 국내 동물병원 중 최초로 도입한 AI 기반 MRI 소프트웨어를 활용해 1000건 이상의 MRI 촬영을 완료하며 동물영상의학 분야에서 한 차원 높은 기술 혁신을 이뤄냈다. 이를 통해 이안동물의학센터는 전문성과 신뢰성을 바탕으로 한 고도화된 의료 서비스를 선보이며 업계 선도주자로서의 입지를 더욱 공고히 하고 있다.
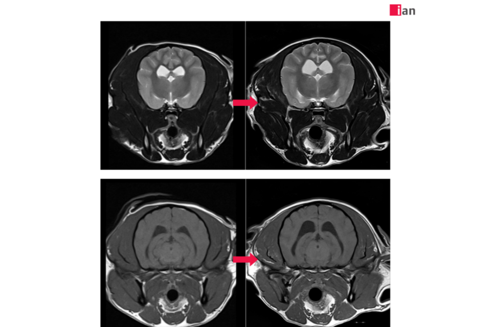
2023년 말 최첨단 AI MRI 소프트웨어를 도입한 이안동물의학센터는 촬영 시간 단축과 영상 품질 극대화라는 두 마리 토끼를 동시에 잡았다. 딥러닝 알고리즘을 통한 이미지 재구성과 노이즈 제거, 선명도 향상은 보다 신속하고 정확한 진단을 가능하게 했으며, 보호자와 반려동물 모두에게 높은 만족도를 제공하고 있다.
특히 AI 소프트웨어 도입 이후 촬영 시간이 기존 대비 최대 절반으로 줄어드는 등 검사 효율성이 크게 향상됐다. 이는 보호자들의 시간적 부담을 덜어줄 뿐 아니라 환자의 마취 시간 단축으로 검사 안전성을 더욱 높이는 효과를 가져왔다.
또한 이미지 퀄리티 향상으로 정밀한 판독이 가능해져 질병의 조기 발견과 정확한 진단을 통한 치료 전략 수립에 커다란 진전을 이뤄냈다. 여기에 이안동물의학센터 전담 마취팀의 철저한 관리까지 더해져 반려동물 검사 전 과정에서 신뢰도 높은 의료 서비스를 제공하고 있다.
이안동물의학센터는 이번 1000건 돌파는 우리 센터가 지속적으로 추구해온 기술 혁신과 전문성 강화의 결실이라며, 앞으로도 최첨단 의료 기술을 적극 활용해 반려동물에게 최상의 진단과 치료 환경을 제공하겠다고 밝혔다.
서울 강남구 선릉로에 위치한 이안동물의학센터는 풍부한 임상 경험과 혁신적 기술 도입을 바탕으로 동물영상의학 분야의 새로운 지평을 열어가고 있다. AI 기반 MRI 및 CT 기술을 통해 신속하면서도 정밀한 진단을 제공하며, 반려동물 의료 서비스의 새로운 기준을 제시하고 있다.
AI포스트(AIPOST) 유형동 수석기자 aipostkorea@naver.com

